Programa del curso
CURSO DE CIRUGÍA MUCOGINGIVAL Y CIRUGÍA PLÁSTICA PERIODONTAL EN PERIODONCIA E IMPLANTES
El curso consta de 2 módulos independientes, de 20 horas cada uno. Puedes inscribirte sólo al Módulo I y decidir, posteriormente, si quieres hacer también el Módulo II.
QUÉ APORTA ESTE CURSO
El curso está distribuido en 10 horas de teoría muy paso a paso y 10 horas de "Hands-on" de tal manera que se practica todo aquello que se ha explicado, con una interacción constante entre el alumno y los profesores.

TALLER 1: FENOTIPO GINGIVAL Y RECESIÓN GINGIVAL
Taller teórico-práctico de, aproximadamente, 3 horas de duración.
Se aborda todo el contenido desde una perspectiva práctica y clínica haciendo especial hincapié en aprender a realizar una lectura de cada caso concreto.
Tras la exposición, se realizará un trabajo por grupos analizando diferentes casos clínicos.

TALLER 2: INJERTO LIBRE EPITELIZADO
Taller teórico-práctico de, aproximadamente, 6 horas de duración. Se hace hincapié en las indicaciones actuales de los injertos libres epitelizados. Se presta especial atención a los extremos libres mandibulares, de cara a modificar el biotipo periodontal para la colocación de implantes.
Este taller se complementa con vídeos y abundante iconografía del paso a paso, previo a la práctica. Se realizan cuatro prácticas de injerto libre epitelizado, en diferentes situaciones.

TALLER 3: OBTENCIÓN DE LOS INJERTOS DE TEJIDO CONECTIVO
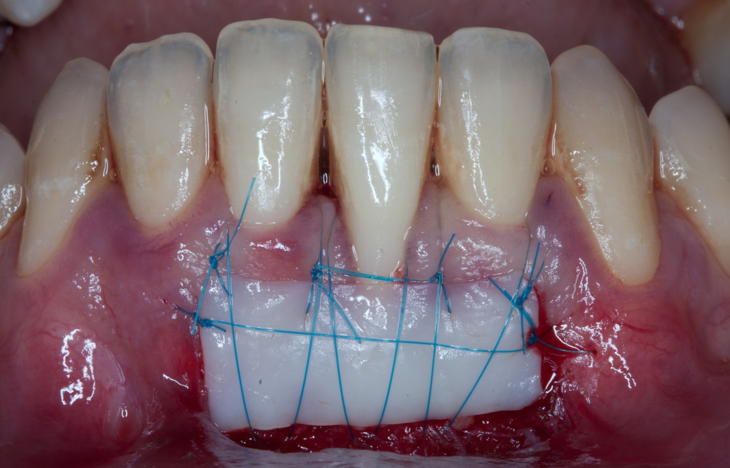
Taller teórico-práctico de, aproximadamente, 5 horas de duración. El alumno practica, en varios modelos, diferentes técnicas de obtención de injertos de tejido conectivo, tanto de la fibromucosa palatina como de la tuberosidad. Se describen y se practican las técnicas de la cura de la zona donante, así como las diferentes técnicas de sutura correspondientes a este apartado.
Este taller se complementa con vídeos y abundante iconografía del paso a paso, previos a la práctica. El alumno realiza 5 prácticas quirúrgicas dentro de este apartado.

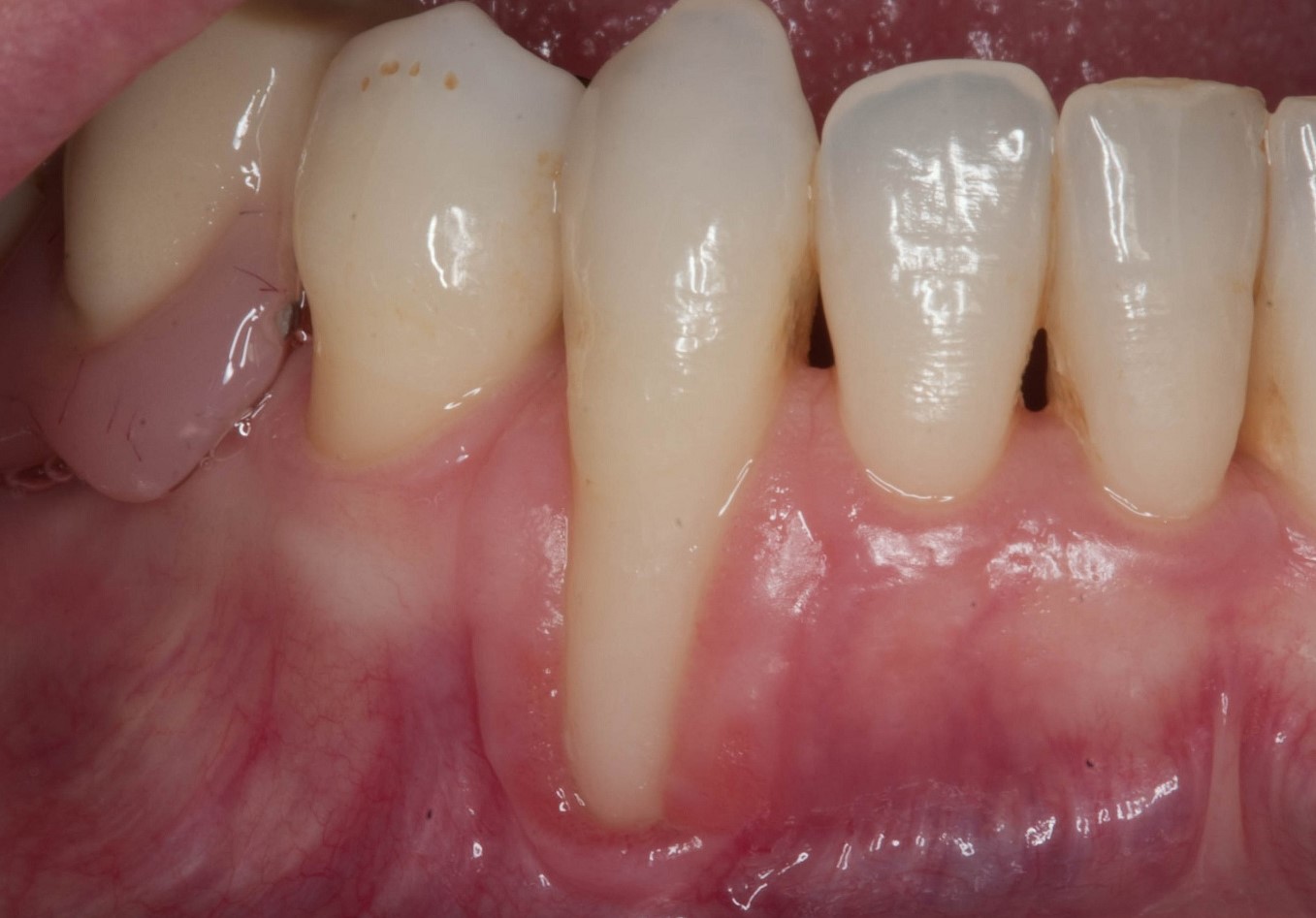
TALLER 4: INJERTO DE TEJIDO CONECTIVO EN BOLSILLO PARA ENGROSAMIENTO: TÉCNICA QUIRÚRGICA PASO A PASO
Taller teórico-práctico de, aproximandamente, 3 horas y media de duración. Además de los conocimientos teóricos, el alumno recibe un entrenamiento paso a paso de la técnica quirúrgica. También se describen y se practican las diferentes técnicas de sutura correspondientes a este apartado. Este taller se complementa con vídeos y abundante iconografía del paso a paso, previos a la práctica. Esta técnica resulta extremadamente útil asociada a tratamientos de implantes, odontología restauradora y estética, prótesis fija convencional y ortodoncia.
El alumno realiza 2 prácticas quirúrgicas con esta técnica.
Este taller se

TALLER 5: INJERTO DE TEJIDO CONECTIVO ASOCIADO A COLGAJO TRAPEZOIDAL DESPLAZADO EN SENTIDO CORONAL
Taller teórico-práctico de, aproximadamente, 2 horas y media de duración.
Este taller se complementa con vídeos y abundante iconografía del paso a paso, previos a la práctica. El alumno realiza una práctica quirúrgica con esta técnica.

MEDICACIÓN Y CUIDADOS POST-OPERATORIOS, CEPILLADO POST-QUIRÚRGICO, PROTOCOLO DE ELIMINACIÓN DE SUTURAS, ETC.
El tratamiento no acaba con el último punto de sutura. Los cuidados post-operatorios son imprescindibles para una óptima evolución de la cirugía. Se analizan los diferentes tipos de cepillos, así como la medicación post-operatoria, de cara a que el paciente se sienta cómodo en este periodo tan crítico.

TALLER 1: INJERTO DE TEJIDO CONECTIVO ASOCIADO A COLGAJO DESPLAZADO EN SENTIDO CORONAL, CON INCISIONES TIPO ZUCCHELLI.
Taller teórico-práctico de, aproximadamente, 4 horas de duración.
Este taller se complementa con vídeos y abundante iconografía del paso a paso, previo a la práctica. El alumno, realizará una práctica quirúrgica dentro de este apartado.

TALLER 2: TÉCNICA DE BOLSILLO Y TÚNEL MODIFICADA ASOCIADA A INJERTO DE TEJIDO CONECTIVO
Taller teórico-práctico de, aproximadamente, 4 horas de duración. Además de los conocimientos teóricos, el alumno recibe un entrenamiento paso a paso de la técnica de túnel. También se describirán y se practicarán las técnicas de sutura correspondientes a este apartado.
Este taller se complementa con vídeos y abundante iconografía del paso a paso, previos a la práctica. El alumno realizará una práctica quirúrgica en este apartado.

TALLER 3: INJERTO DE TEJIDO CONECTIVO ASOCIADO A TÚNEL LATERALMENTE CERRADO
Exposición teórica de aproximadamente, 1 hora de duración.
La exposición cuenta con abundante iconografía del paso a paso.

TALLER 4: INJERTO DE TEJIDO CONECTIVO ASOCIADO A COLGAJO DESPLAZADO EN SENTIDO LATERAL
Taller teórico-práctico de, aproximadamente, 3 horas de duración.
Este taller se complementa con vídeos y abundante iconografía del paso a paso, previos a la práctica. El alumno realizará una práctica quirúrgica con esta técnica.

TALLER 5: IMPLANTOLOGÍA, ORTODONCIA Y ODONTOLOGÍA RESTAURADORA
Taller teórico de, aproximadamente, 3 horas de duración. En este taller, mostramos la utilidad de todo lo aprendido hasta ahora, pero aplicado a las diferentes disciplinas odontológicas.
Además, se incluye un apartado sobre el diseño de incisiones y colgajos en implantología, especialmente en el sector anterior, en base a un diagnóstico certero de cada caso concreto.

TALLER 6: TÉCNICA QUIRÚRGICA DE ELECCIÓN EN CADA CASO PARTICULAR
Taller teórico de, aproximadamente, 3 horas de duración. No es suficiente con saber practicar las diferentes técnicas quirúrgicas existentes. Resulta indispensable saber cuál de ellas se adapta mejor a las características de cada caso en particular.
En este taller, se realizará un trabajo por grupos reducidos de alumnos.
